°¡ÀÌµå µ¿¹°ÀÇ·á¼¾ÅÍ´Â ÃÖ½Å½Ä 16ä³Î CT¿Í
°í»ç¾ç ÃÊÀ½ÆÄ¸¦ °®Ãß¾î ½Å¼ÓÇϰí Á¤È®ÇÑ Áø´ÜÀ» Á¦°øÇÕ´Ï´Ù.
¿¬ºÎÁ¶Á÷ °¨º°·ÂÀÌ ¶Ù¾î³ª Á¤È®ÇÑ Áø´ÜÀÌ °¡´ÉÇϸç,
À̸¦ ¹ÙÅÁÀ¸·Î ÃÖÀûÀÇ Ä¡·á ¹æÇâÀ» °áÁ¤ÇÕ´Ï´Ù.

GUIDE ANIMAL
MEDICAL CENTER
GUIDE ANIMAL MEDICAL CENTER
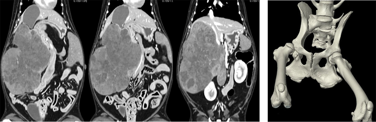
CT

Àü»êÈ´ÜÃþÃÔ¿µÀåÄ¡(Computed Tomography>´Â X¼± ¹æ»ç¼±°ú ÄÄÇ»Å͸¦ Ȱ¿ëÇÏ¿©
¹Ý·Áµ¿¹°ÀÇ ½Åü ±¸Á¶¸¦ ´Ü¸é ¿µ»óÀ¸·Î ÃÔ¿µÇÏ¿© À̸¦ À籸¼ºÇÑ ÈÄ
xray³ª ÃÊÀ½ÆÄ¿¡¼ È®ÀÎÇÒ ¼ö ¾ø´Â ±¸Á¶¹°À̳ª ¿µ»ó±îÁö È®ÀÎÇÒ¼ö ÀÖ´Â »óÀ§±Þ ¿µ»óÁø´Ü ±â°èÀÔ´Ï´Ù.



COMPUTED TOMOGRAPHY
Activion 16¶õ?


COMPUTED TOMOGRAPHY
CT ƯÀåÁ¡


CT ÃÔ¿µÀ¸·Î Áø´Ü °¡´ÉÇÑ Áúȯµé








